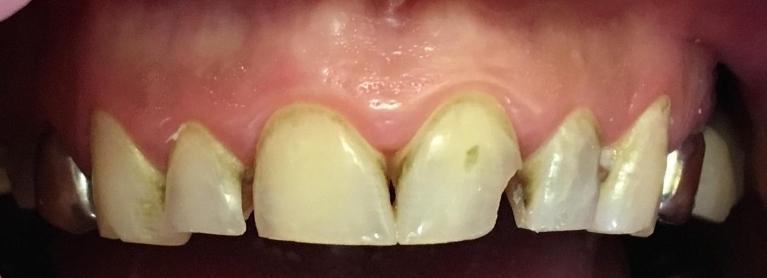
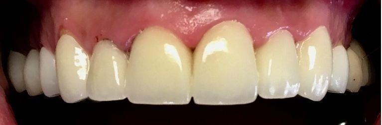
After years of avoiding the dentist, this gentleman came to us with multiple worn and broken down teeth. After placing all ceramic crowns, the patient's teeth were restored to their proper function and esthetics.
If you have difficulty using our website, please email us
or call us at (225) 927-7545
View the ADA Accessibility Statement
 
 
