Cosmetic Dentistry in Prairieville, LA
A healthy and beautiful smile can help take you to the next level in your personal and professional life.
If you’re not satisfied with the appearance of your smile, you may be reluctant to share it with other people. When you are confident about your appearance, however, it gives you the self-assurance you need to achieve your goals.
Cosmetic dentistry offers different options that can repair and enhance your teeth. Whether you just need a quick boost or a tooth replaced or repaired, Palm Family Dentistry can help.
Dr. Palm is highly skilled in helping patients achieve the smiles they’ve always wanted.
Teeth Whitening in 70769
One of the fastest and more affordable ways to update your smile is to whiten your teeth. While there are many whitening systems available at your local grocery store, these may not be able to help you achieve the results you desire because they don't fit properly or they are only designed to whiten your sight line, or front six teeth.
Dr. Palm offers convenient take-home whitening trays that we create using impressions we take of your teeth. This ensures you have the best fit, which offers maximum protection from any injury that excess whitening gel can cause. We also have access to a much higher strength whitening gel than you can purchase at the store, which will help you achieve your goals much faster.
If you are considering teeth whitening, be sure to discuss your options with Dr. Palm first to ensure you make the best choice for your needs.
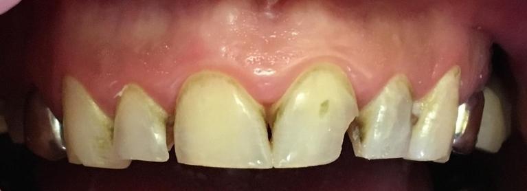
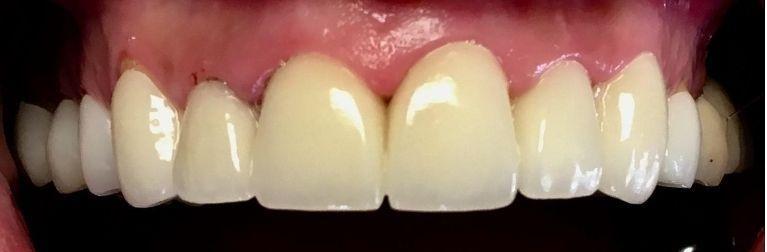
Porcelain Veneers in Prairieville, LA
There is no better way to enhance your smile than porcelain veneers. In fact, you might be surprised to find that many of the smiles we admire in Hollywood these days have been improved with porcelain veneers.
A dental veneer is a thin shell of porcelain that is customized to fit on your tooth. This gives it the capability to cover imperfections as well as alter the shape, size, and shade of your tooth. A veneer can repair one tooth, or they can be utilized to completely redesign your smile.
Cosmetic Bonding
Dental bonding is another great way to make changes to the appearance of your smile. Dr. Palm uses composite resin to repair issues such as:
- Small chips and fractures
- Staining and discoloration
- Gaps and spacing between teeth
- Misshapen teeth or size discrepancies
- Root exposure due to recession
Composite resin is the same material used for dental fillings, and it can be custom shaded and shaped to repair and enhance your teeth. It’s also more affordable than other cosmetic procedures and less invasive because it doesn’t require the removal of any tooth structure.
Call Our Dental Office in Prairieville, LA To Learn More!
If you’re considering cosmetic dentistry, we encourage you to contact Dr. Palm and schedule a consultation to learn more about what’s possible for your smile!
At Palm Family Dentistry, our patients sometimes ask us why they should consider cosmetic dental treatments. After all, these patients say, cosmetic dental procedures are an extra, unnecessary expense.