Palm Family Dentistry

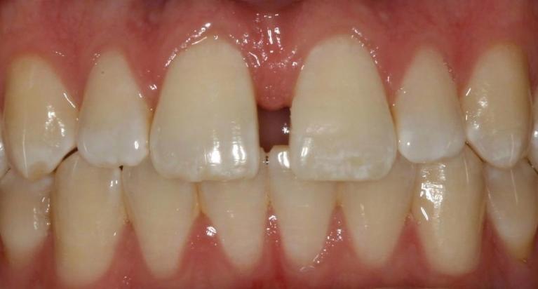
Diastema Treatment

This patient came to us cavity free but embarrassed of the gap between his front teeth. After an hour long visit and some bonding the patient left thrilled with his results. He now smiles with confidence!!

Related Services:

Tooth-Colored Restorations

Service Available At:

Prairieville
Ready to book an appointment?
If you have difficulty using our website, please email us or call us at (225) 927-7545
View the ADA Accessibility Statement